VETATLAS
por Polliana Alves Franco e
colaboradores
Março de 2023
Anterior
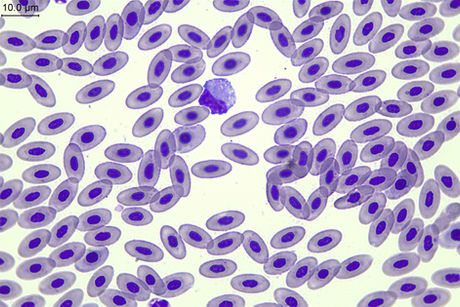
Hematologia de pavão ( nome científico Pavo cristatus)
03
Página Inicial
Hematologia
Urinálise
Citologia
Microbiologia
Tricograma
Colaboradores
Contato
Mais